2025.09.04
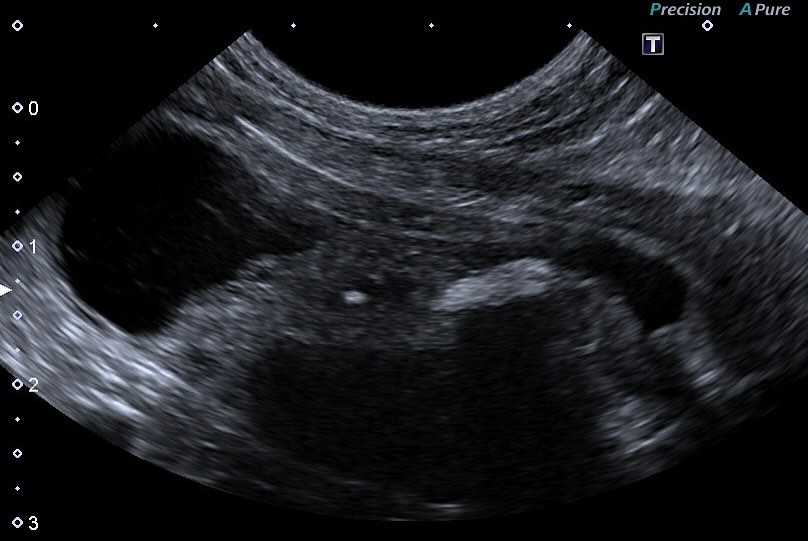
このように異常が早期に発見されるのは、検査機器の進歩やご家族の健康意識が向上しているおかげです。🐕🩺わんちゃんが元気に見えていても、やはり定期的な健康診断は大切です!見た目だけでは判断できない内部の問題を早期に発見することで、治療や対策が迅速に行え、愛するペットの健康を守ることができます。👍みなさまの大切な家族の一員であるペットのためにも、ぜひ適切な健康診断を受けさせてあげてくださいね。🌟